Esthetique dentaire a Versailles
Notre cabinet dentaire spécialisé en dentisterie esthétique est dédiée à vous offrir des solutions personnalisées pour améliorer l’apparence de votre sourire. Grâce à nos techniques avancées et à notre expertise, nous pouvons vous aider à obtenir le sourire dont vous avez toujours rêvé.
dentisterie esthetique Versailles
Traitement Dentaire Esthetique
Notre approche esthétique vise à obtenir les résultats les plus naturels possibles pour transformer votre sourire sans que l’on puisse le deviner.
Nous utilisons les dernières avancées techniques pour offrir des solutions personnalisées qui répondent à vos besoins esthétiques :
Nous utilisons les dernières avancées techniques pour offrir des solutions personnalisées qui répondent à vos besoins esthétiques :
Les facettes sont de fines coquilles en céramique qui sont collées à la surface des dents pour améliorer leur apparence. Elles peuvent corriger une variété de problèmes esthétiques, y compris les dents décolorées, ébréchées, irrégulières ou espacées.
Nous proposons des traitements professionnels d’éclaircissement dentaire qui peuvent éliminer les taches dentaires et vous donner un sourire plus blanc et plus éclatant.
Les inlays et onlays sont des restaurations dentaires qui peuvent être utilisées pour réparer les dents endommagées ou cariées. Elles sont conçues pour s’adapter parfaitement à votre dent et sont faites d’un matériau qui ressemble à votre dent naturelle.
Restaurations esthetiques a Versailles
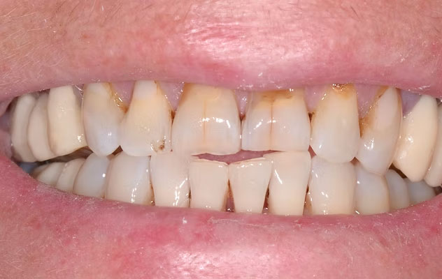
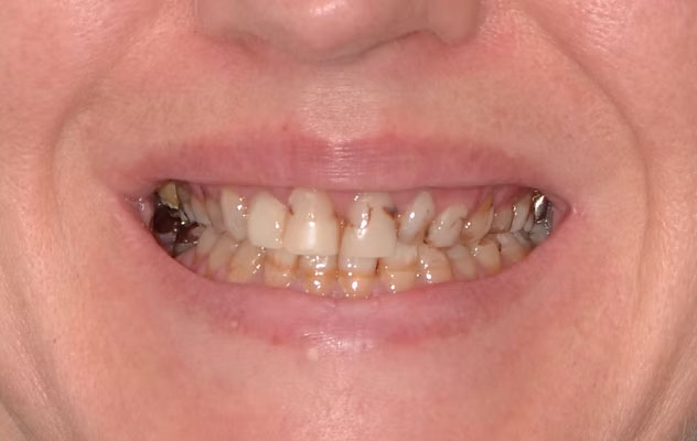
Cas cliniques avant et apres